《Angew》同济大学王启刚:超快速凝胶和软骨修复的组织液触发酶聚合
发布时间:2021-06-28 09:39:23 人气:1583
摘要可注射前体的原位凝胶化在组织再生领域是可取的,尤其是在不规则缺陷填充的情况下。当前快速凝胶化的驱动力包括热敏共聚物的相变、与组织成分的点击化学反应和金属配位效应。然而,快速形成坚韧的水凝胶仍然是一个挑战。受有氧代谢的启发,同济大学王启刚教授团队提出了一种由葡萄糖氧化酶和甘氨酸亚铁催化的组织液触发的级联酶聚合过程,用于丙烯酰化硫酸软骨素和丙烯酰胺的超快速凝胶化。
碳自由基和大分子的高效生产有助于自动加速聚合,用于骨缺损中的软组织增加。共聚物水凝胶证明了软骨的再生促进能力。作为使用人工酶复合物进行原位聚合的第一个例子,这项工作为设计用于生物植入和生物打印应用的强度可调水凝胶提供了一种仿生方法。相关论文以题为Tissue Fluid Triggered Enzyme Polymerization for Ultrafast Gelation and Cartilage Repair发表在《Angewandte Chemie International Edition》上。
主图
碳自由基和大分子的高效生产有助于自动加速聚合,用于骨缺损中的软组织增加。共聚物水凝胶证明了软骨的再生促进能力。作为使用人工酶复合物进行原位聚合的第一个例子,这项工作为设计用于生物植入和生物打印应用的强度可调水凝胶提供了一种仿生方法。相关论文以题为Tissue Fluid Triggered Enzyme Polymerization for Ultrafast Gelation and Cartilage Repair发表在《Angewandte Chemie International Edition》上。
主图
图4 (a) 在水凝胶提取物中培养的软骨细胞的细胞活力超过7天。(b)在 Dulbecco s Modified Eagle 培养基和水凝胶提取物中培养的活/死和 F-肌动蛋白鬼笔环肽染色的软骨细胞的荧光图像。(c) 使用水凝胶进行软骨修复的动物实验示意图。(d) 对照组和治疗组治疗前后髌骨照片。(e) 对照组和治疗组髌骨修复后的显微CT图像。

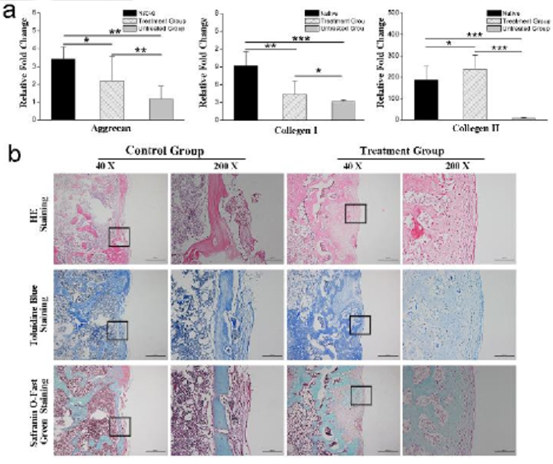
图5 (a) 蛋白聚糖、胶原蛋白 I 和胶原蛋白 II 的基因表达。(b) HE染色、甲苯胺蓝染色和番红O染色观察的组织切片。
本信息源自互联网仅供学术交流 如有侵权请联系我们立即删除
| 温馨提示:苏州北科纳米供应产品仅用于科研,不能用于人体,不同批次产品规格性能有差异。网站部分文献案例图片源自互联网,图片仅供参考,请以实物为主,如有侵权请联系我们立即删除。 |
下一篇: 纳米医学产品1


